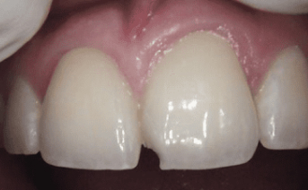
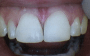
Dr. Ed Trizzino can create dental bridges for those living in Atlanta, Georgia, and surrounding areas, to not only improve your oral functions but also your aesthetic appearance. Our dentist can help you achieve a better smile at Smiles of Atlanta. Call 770-777-0808 to learn more about our aesthetic repair dental bridges in Atlanta, Georgia.
Join Our Dental Family
Come see us for your dental needs at Smiles of Atlanta and we will take care of you and your smile. We hope to see you soon and invite you to give us a call.
Request Appointment






















