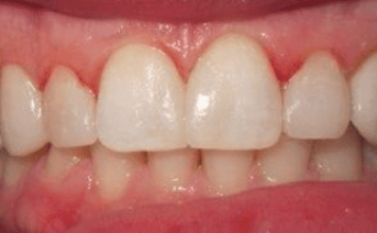
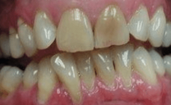
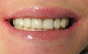
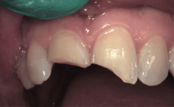
Our chairside dental veneers at Smiles of Atlanta allow Dr. Ed Trizzino to give you a better-looking smile in one simple visit. You can have the aesthetically pleasing smile you have always wanted in just one day. Call our dentist at 770-777-0808 today to learn more about our chairside dental veneers in Atlanta, Georgia.
Join Our Dental Family
Come see us for your dental needs at Smiles of Atlanta and we will take care of you and your smile. We hope to see you soon and invite you to give us a call.
Request Appointment












