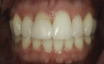
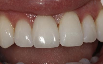
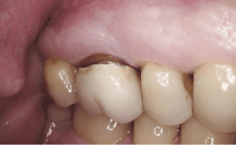
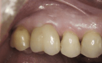
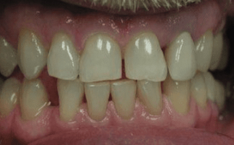
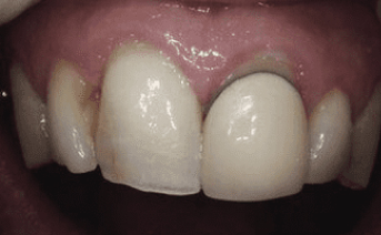
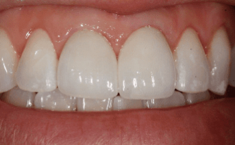
Dr. Ed Trizzino creates dental crowns to place over affected teeth to protect them from further damage. These teeth have undergone treatments such as dental implants or root canals, and look completely natural with our tooth-colored composite material. Call Smiles of Atlanta at 770-777-0808 to schedule your visit with our dentist, and learn more about our dental crowns in Atlanta, Georgia.
Join Our Dental Family
Come see us for your dental needs at Smiles of Atlanta and we will take care of you and your smile. We hope to see you soon and invite you to give us a call.
Request Appointment














